Hiermit bestätige ich, dass ich einen medizinischen oder pharmazeutischen Beruf ausübe [Ärzt*in, Apotheker*in, Pharmazeutisch-technische*r Assistent*in (PTA), Medizinische*r Fachangestellte*r (MFA)].
Metabolische Dysfunktion-assoziierte steatotische Lebererkrankung
Gastroenterologie
Inhaltsverzeichnis
Steckbrief
Die Metabolische Dysfunktion-assoziierte steatotische Lebererkrankung (MASLD: Metabolic Dysfunction-associated Steatotic Liver Disease), vormals nicht alkoholische Fettlebererkrankung (NAFLD: Non-alcoholic fatty Liver Disease) ist die häufigste Lebererkrankung weltweit.
Wesentliche Risikofaktoren sind eine durch Fehl- und Überernährung hervorgerufene abdominelle Adipositas und Insulinresistenz. In Risikogruppen beträgt die Prävalenz bis zu 75%. Neben den externen Risikofaktoren sind intrinsische, genetische Faktoren wesentlich an der Entstehung und dem Verlauf beteiligt. Die Erkrankungsstadien werden histologisch definiert und bedürfen einer Leberbiopsie zur Abgrenzung. Durch neue nicht-invasive Testverfahren (NITs) werden diese Erkrankungsstadien im klinischen Alltag allerdings nicht-invasiv, ohne Verwendung einer Leberbiopsie durch Einsatz von Biomarkern definiert. Die Pathophysiologie der Erkrankung wird zunehmend besser verstanden. Im Zentrum stehen Insulinresistenz und Entzündungsreaktionen in der Leber. Diese entzündlichen Prozesse sind Teil einer systemischen, metabolischen Aktivierung des Immunsystems, die letztendlich auch zur Schädigung von anderen Organen führen. Die Lebenserwartung wird um 4 Jahre verkürzt. Ein aktiver Lebensstil und die Vermeidung von Ernährungsfehlern steht im Vordergrund der Prävention und der Behandlung.
Aktuelles
- Durch neue nicht-invasive Diagnostik werden fortgeschrittenen von den frühen Erkrankungsstadien abgegrenzt.
- Im Jahr 2025 hat die erste medikamentöse Therapie zur Behandlung der entzündlichen, metabolischen Fettlebererkrankung von der Europäischen Arzneimittel-Agentur (EMA) eine Genehmigung für das Inverkehrbringen erhalten.
- Phase-III Therapiestudien untersuchen die Effektivität und Sicherheit von unterschiedlichen Wirkansätzen zur Behandlung der MASH mit und ohne Leberzirrhose.
- Durch Europäische und Deutsche Leitlinien wurden Empfehlungen zur Identifikation, RisikoStratifizierung und interdisziplinären Behandlung geschaffen.
Synonyme
- steatotische Lebererkrankung (SLD)
- Metabolische Dysfunktion-assoziierte steatotische Lebererkrankung (MASLD)
- Metabolische Dysfunktion-assoziierte Steatohepatitis (MASH)
- Leberverfettung
- nutritiv-toxische Hepatopathie
- PNPLA3-Hepatopathie
- Fettleber oder Leberverfettung
Keywords
- MASH
- Fibrose
- Zirrhose
- Diabetes mellitus Typ 2
- Fettstoffwechselstörung
- Steatohepatitis
- HCC
Definition
- Der Begriff der MASLD wurde in einem Konsensprozess neu definiert, um die Erkrankung mit einer positiven Definition zu identifizieren und im Rahmen des Spektrums der steatotischen Lebererkrankung (SLD) einzuordnende.
- Die MASLD umfasst ein Erkrankungsspektrum, das die Stadien
- der Leberverfettung,
- der metabolischen Steatohepatitis (MASH) und
- der MASH Zirrhose unterscheidet (Tab. 5.31).
- Die Abgrenzung der Stadien voneinander erfolgt basierend auf Biomarkern. Von klinischer Relevanz ist die Unterscheidung der frühen von den fortgeschrittenen Fibrosestadien.
- Im Spektrum der SLDs wird die MASLD/MASH von der MetALD und der Alkoholischen Lebeerkrankungen (ALD) unterschieden.
- Auch sekundäre Formen der Leberverfettung durch Medikamente oder andere Lebererkrankungen werden abgegrenzt.
- Da die Kombination von metabolisch bedingter Leberverfettung und schädigendem Alkoholkonsum gilt als besonders ungünstig und wurde von einzelnen Experten auch als „duale Ätiologie der Steatohepatitis“ (DASH) bezeichnet.
Epidemiologie
Häufigkeit
- Die MASLD ist die häufigste Lebererkrankung weltweit.
- Die Prävalenz der MASLD in der allgemeinen Bevölkerung beträgt 25%, mit der höchsten Prävalenz in Südamerika und dem Mittleren Osten, danach in absteigender Häufigkeit Asien, USA und Europa.
- Von 2005–2010 ist die Prävalenz der MASLD von 15% auf 25% gestiegen.
- Die MASLD betrifft bis zu 30% der adulten Bevölkerung in Deutschland.
- Global gibt es deutliche Unterschiede, die abhängig sind von:
- Untersuchungsmethode
- Alter
- Geschlecht
- Abstammung
- In Hochrisikogruppen, z. B. Patienten mit Diabetes mellitus Typ 2, liegt die Prävalenz bei bis
zu 70%. - Daten zur Prävalenz der MASH liegen nicht vor, da es keine biopsiebasierten Studien in der Allgemeinbevölkerung gibt.
- Näherungen basierend auf Leberwerten und Ultraschalluntersuchungen suggerieren, dass 20–25% der Patienten mit MASLD von einer MASH betroffen sind.
- Allerdings schließen Leberwerte im Referenzbereich eine MASH nicht aus.
- In den USA ist die MASH heute die zweit häufigste Indikation zur Anmeldung für eine Lebertransplantation aufgrund einer Leberzirrhose.
- Die Prävalenz wird in den kommenden Jahren voraussichtlich weiter zunehmen [15].
- In Deutschland liegt die Prävalenz der fortgeschrittenen Fibrose bei ca. 1% in der Allgemeinbevölkerung [19].
Altersgipfel
- Die Prävalenz steigt mit zunehmendem Alter an.
- Der Häufigkeitsgipfel liegt jenseits von 55 Jahren.
- Körperliches Übergewicht im Kindes- und Jugendalter geht mit einem erhöhten Risiko für eine MASLD im späteren Leben einher.
Geschlechtsverteilung
- In den meisten Regionen der Welt sind Männer häufiger und schwerer betroffen als Frauen.
- Diese Tatsache kann einerseits durch Kofaktoren, z. B. sozialem Alkoholgebrauch, aber auch durch methodische Unterschiede, z. B. geschlechtsspezifische Referenzwerte von Transaminasen, beeinflusst werden.
- Mit dem Eintreten in die Menopause steigt die Prävalenz auch bei Frauen an, sodass auch Geschlechtshormone – unabhängig vom Alter – ursächlich beitragen könnten.
Prädisponierende Faktoren
- Prädisponierend sind Faktoren, die zum metabolischen Syndrom gerechnet werden bzw. eine korrespondiere medikamentöse Therapie:
- Bauchumfang > 94 cm bei Männern und > 80 cm bei Frauen
- arterielle Hypertonie (RR> 130/85 mmHg)
- Nüchternglukose > 100 mg/dl (> 5,6mmol/l)
- Hypertriglyzeridämie > 150 mg/dl (> 1,7mmol/l)
- HDL-Cholesterin < 40 mg/dl bei Männern und < 50 mg/dl bei Frauen (< 1,0/< 1,3mmol/l)
- Genetische Faktoren sind ebenfalls wesentlich an der Entstehung beteiligt und können aggravierend wirken.
- Alkoholkonsum unterhalb der Schwellenwerte, die eine MASLD definieren, werden vereinzelt mit einer verbesserten Insulinsensitivität in Verbindung gebracht. Eine absolute Alkoholkarenz wird zurzeit nicht von den Leitlinien empfohlen.
Ätiologie und Pathogenese
- Die Pathophysiologie der Erkrankung wird zunehmend besser verstanden.
- Im Zentrum stehen Insulinresistenz und Entzündungsreaktionen.
- Diese entzündlichen Prozesse sind Teil einer systemischen, metabolischen Aktivierung des angeborenen Immunsystems, die letztendlich auch zur Schädigung von anderen Organen führen.
- Beteiligt an der Entstehung sind
- abdominelles Fettgewebe,
- Zytokine,
- Adipokine,
- angeborene Immunität („innate immunity“),
- Lipotoxizität,
- oxidativer Stress,
- Fibrogenese,
- Hepatokarzinogenese.
Klassifikation und Risikostratifizierung
- Die Klassifikation der Erkrankungsstadien erfolgt unter Einsatz von Biomarkern oder auch in seltenen Fällen histologisch.
- Die Gruppe der SLD umfasst auch Alkoholkonsum als Ursache der Leberverfettung.
- Die MASLD ist keine Ausschlusserkrankung.
- Zur Abgrenzung anderen Lebererkrankungen kann eine Leberbiospie erforderlich sein (siehe Differentialdiagnose)
- Als einziger unabhängiger prognostischer Faktor für die Mortalität von Patienten mit MASLD wurde die Ausprägung (Schweregrad) der Leberfibrose in der Leberbiopsie identifiziert.
- In den histologisch definierten Stadien F0 (keine Fibrose) bis hin zum Stadium F4 (Zirrhose) steigt die leberspezifische Mortalität exponentiell an (Abb. 5.24, Tab. 5.31).
- Die Fibroseprogression ist abhängig von Entzündungen und Zellschäden, die histologisch als lobuläre Inflammation und ballonierte Hepatozyten zusammengefasst werden.
- Der Fibroseprogress von Patienten mit MASH liegt bei einem histologischen Stadium alle 7 Jahre.
- Das ist doppelt so schnell wie bei Patienten mit einer Fettleber ohne Steatohepatitis.
- In allen Analysen zur Bedeutung von Kofaktoren war nur das Fibrosestadium in der Leberbiopsie ein Prädiktor für die Gesamtmortalität, kardiovaskuläre und leberspezifische Mortalität.
- Beim Vorliegen einer fortgeschrittenen Fibrose, d. h. dem histologischen Stadium F3 oder F4,
besteht das höchste Mortalitätsrisiko. - Eine weitere Risikostratifizierung ist auf dem Boden von genetischen Eigenschaften in Form von sog. Einzelnukleotid-Polymorphismen (SNP: Single Nucleotide Polymorphism) möglich.
- Patienten mit einem homozygoten Genotyp M/M im PNPLA3-Gen zeigen eine stärkere Ausprägung der Steatohepatitis und ein erhöhtes Risiko für die Entwicklung eines hepatozellulären Karzinoms (HCC).
- Weitere SNPs die eine Bedeutung spielen sind TM6SF2, GCKR, und MBOAT7
- Zukünftige Therapie Studien werden auch mechanistisch durch gezielte Deletion die Bedeutung dieser genetischen Faktoren untersuchen.
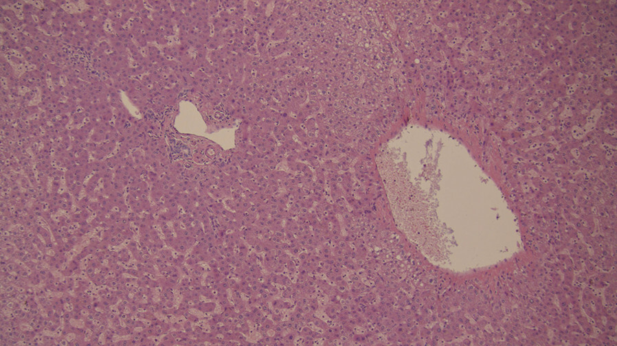
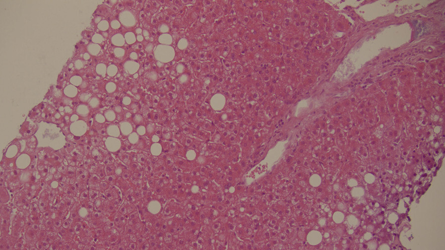
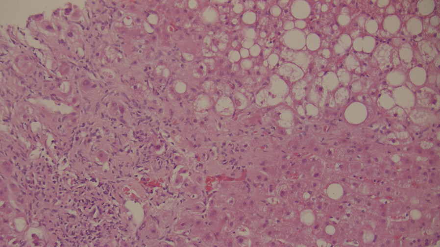
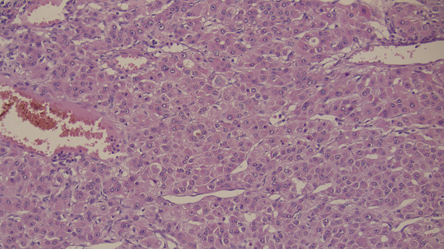
Abb. 5.25 Spektrum der MASLD.
a Normalleber, < 5% Fett.
(Quelle: Prof. Dr. B. K. Straub, Universitätsmedizin Mainz)
b MASLD, 20-fache Vergrößerung.
(Quelle: Prof. Dr. B. K. Straub, Universitätsmedizin Mainz)
c MASH mit fortgeschrittener Fibrose, 20-fache Vergrößerung. (Quelle: Prof. Dr. B. K. Straub, Universitätsmedizin Mainz)
d HCC.
(Quelle: Prof. Dr. B. K. Straub, Universitätsmedizin Mainz)
Symptomatik
- Die Symptome der MASLD sind unspezifisch.
- Patienten können ein Druckgefühl im rechtsseitigen Oberbauch berichten.
- Tagesmüdigkeit und Abgeschlagenheit werden ebenfalls oft berichtet.
- Insgesamt ist die gesundheitsbezogene Lebensqualität bei Patienten mit MASLD deutlich reduziert [14].
Diagnostik
Diagnostisches Vorgehen
- Die Diagnostik bei MASLD beruht auf der Identifikation von definierenden metabolischen Risikofaktoren.
- Die Abgrenzung von MASLD, MetAD und ALD erfolgt anamnestisch durch Erfragen und Abschätzung von Alkoholkonsum.
- Es gibt keine Empfehlung zur Durchführung von Screening-Untersuchungen in der allgemein Bevölkerung, sodass eine Leberverfettung in der Regel akzidentiell bei radiologischen oder sonografischen Untersuchungen festgestellt wird.
- In der Risikogruppe von Menschen mit Typ-2-Diabetes sollte bei erhöhten Leberwerten oder Leberverfettung auf das Vorliegen einer fortgeschrittenen Fibrose untersucht werden.
- Auch im Kontext der Bestimmung von Leberwerten kann sich der Verdacht auf eine MASLD ergeben, wobei Patienten mit MASLD und MASH normwertige Transaminasen aufweisen können.
- Tatsächlich ist die Frage nach dem geeigneten Referenzwert zur Erkennung von MASLD und MASH nicht abschließend beantwortet.
- Bei Patienten mit Verdacht auf MASLD sollten BMI, Bauchumfang und Blutdruck ermittelt werden.
- Weiterhin sind Untersuchungen zum Erkennen anderer metabolisch bedingter Begleiterkrankungen durchzuführen.
- Eine transabdominelle Ultraschalluntersuchung wird eingesetzt, um die Leberverfettung und Raumforderungen zu erkennen.
- Im Kontext der Erstdiagnose müssen Patienten mit fortgeschrittener Fibrose von Patienten ohne relevante oder mit geringer Fibrose unterschieden werden, da diese Gruppen eine unterschiedliche Mortalität und einen unterschiedlichen Behandlungs- bzw. Nachsorgebedarf aufweisen.
- Ultraschall-basierte Elastographie Verfahren eignen sich als „point-of-care“ Test zur Identifikation der fortgeschrittenen Fibrose und kompensierten Zirrhose.
- Der Referenzstandard zur Bestimmung des Fibrosegrads sind die histologische Untersuchung des Lebergewebes nach Biopsie.
- Trotz Ungenauigkeiten, die zwangsläufig durch eine Probeentnahme entstehen, da die charakteristischen Veränderungen uneinheitliche in der Leber verteilt sind, kann nur die Leberbiopsie eine MASH von einer MASLD unterscheiden.
- Der sog. Sampling Error kann durch die Entnahme einer Biopsie mit mindestens 12 Portalfeldern und insgesamt von mindestens 2 cm Länge nach Fixierung reduziert werden.
- Die Indikation zur Leberbiopsie ergibt sich auch im Zusammenhang mit der Abklärung erhöhter Leberwerte, um andere Lebererkrankungen abzugrenzen, insbesondere autoimmune Lebererkrankungen (Abb. 5.26).
- Zur Identifikation von Patienten mit fortgeschrittener Fibrose wurden eine Reihe nicht invasiver Bewertungsskalen entwickelt, die in zwei kürzlich publizierten Übersichtsarbeiten gut zusammenfasst sind [8], [13].
- Durch die Kombination von Standardlaborwerten in Punktwertsystemen können nach
Anwendung dieser Tests positiv prädiktive Werte (PPV) von bis zu 85% erreicht werden. - Die deutschen und europäischen Leitlinie empfiehlt den FIB-4 Index als Risikoschätzer und Etablierung von Versorgungspfaden.
- Der FIB-4 Index hat jedoch eine große Grauzone, in der Patienten nicht adäquat beurteilt werden können.
- In dieser Gruppe sind dann sequentielle Testung mittels Elastografie Verfahren zur Abschätzung des Fibrosegrads einzusetzen.
- Durch die Kombination von Standardlaborwerten in Punktwertsystemen können nach
- Die Leberbiopsie dient in der sequenziellen Abfolge der diagnostischen Maßnahmen dazu, das histologische Stadium der Erkrankung zu definieren und andere Erkrankungen auszuschließen (Abb. 5.26).
Anamnese
- Für die Anamnese von Patienten mit MASLD ist die Abschätzung des Alkoholkonsums und anderer metabolischer Risikofaktoren von großer Bedeutung.
- Die Genussmittelanamnese und die Erfassung des Lebensstils mit Ernährungsgewohnheiten können helfen, auf die Vermeidung von erkennbaren Ernährungsfehlern hinzuweisen.
- Insbesondere der Konsum von gesüßten Limonaden und Softdrinks ist bei Jugendlichen und Erwachsenen eine häufige Quelle überschüssiger Energieaufnahme.
- Der Konsum fruktosereicher Getränken ist stark mit der Entstehung einer MASLD assoziiert.
- Die Familienanamnese hilft, Patienten mit einer metabolischen Belastung zu erkennen.
- Auch das familiäre Auftreten einer Leberzirrhose oder eines HCC sollte erhoben werden, um das individuelle Risiko einzugrenzen.
- Die Sozial- und Arbeitsanamnese hilft, das Aktivitätslevel im Alltag abzuschätzen und kann zur Empfehlung von Lebensstiländerungen durch Erhöhung der körperlichen Aktivität dienen.
- Medikamente, die zu einer sekundären Fettleber führen, müssen erfragt werden.
- Auch die Befragung von Lebenspartnern und Angehörigen kann helfen, um Patienten, die an
einer obstruktiven Schlafapnoe (OSA) leiden, zu erkennen, und einer weiterführenden
Behandlung zu zuführen.
Körperliche Untersuchung
- Bei der körperlichen Untersuchung sollen Befunde gezielt untersucht werden, die auf eine fortgeschrittene Lebererkrankung hinweisen.
- Vor allem im Stadium der Leberzirrhose können körperliche Befunde richtungsweisend sein.
- Darüber hinaus ist sind bedeutsam:
- Körperkomposition (Gewicht, Größe, Bauch- und Taillenumfang),
- Zeichen eines Diabetes mellitus,
- Hinweise auf eine arterielle oder venöse Durchblutungsstörung.
Labor
- Die Labordiagnostik bei MASLD ist umfangreich und muss differenzialdiagnostisch andere Lebererkrankungen abgrenzen.
- Virushepatitiden
- autoimmune Leber- und Gallenwegserkrankungen
- Eisen- und Kupferstoffwechselstörungen
- Bei der MASLD sollten zu Bestimmung der metabolischen Kofaktoren gemessen werden:
- Nüchternglukose
- HbA1c
- Triglyzeride
- Gesamt-, HDL- und LDL-Cholesterin
- Der NAFLD Fibrose Score (NFS), der von der deutschen Leitlinie zur Abgrenzung von Patienten mit fortgeschrittener Fibrose empfohlen wird, benötigt darüber hinaus:
- Alter
- BMI (kg/m2)
- IGF/Diabetes (ja/nein)
- AST
- ALT
- Thrombozyten
- Albumin
- Sehr selten können angeborene Stoffwechseldefekte, z. B. lysosomale Speichererkrankungen oder mitochondriale Funktionsstörungen zur Fettleber führen.
- Die Messung von Alkohol im Blut hat augrund der kurzer Halbwertzeit keinen Stellenwert.
- Ebenso sind ETG im Urin oder CDT-Messungen nicht Teil der klinischen Routine, können aber im Verlauf – insbesondere im Kontext der Vorbereitung zur Lebertransplantation bei Zirrhose – zur Beurteilung erforderlich werden.
Mikrobiologie
Serologie
- Im differenzialdiagnostischen Vorgehen ist die Untersuchung von Hepatitis-B- und HepatitisC-spezifischen Antikörpern und -Virusantigen erforderlich.
- Infektionen mit SARS-CoV2 führen vor allem in der frühen Phase oft zu unspezifischen Erhöhungen der Transaminasen.
Bildgebende Diagnostik
Sonografie
- Die Sonografie steht als einfache, günstige und rasch umsetzbare Diagnostik am Anfang der Diagnostik.
- Im Ultraschallbild kann eine Verfettung der Leber ab einem hepatischen Fettgehalt von > 30% mit sehr hoher Sensitivität erfasst werden.
- Im klinischen Alltag werden oft drei Grade der Verfettung im Sonografiebefund unterschieden, die in Abgrenzung zur hypoechogenen Nierenrinde zu sehen sind.
MRT
- MRT-Technologien haben eine sehr hohe Genauigkeit in der Beurteilung des Lebergewebes bei der Quantifizierung des Leberfettgehalts.
- Es wurden spezifische Anwendungen entwickelt, um durch quantitative Messungen unter Einsatz von T1-, T2-, und PDFF-Sequenzen Eisengehalt, Leberentzündung, Fibrose und Leberfettgehalt zu bestimmen.
- Die Effektivität dieser Techniken ist sehr hoch.
- Im Gegensatz zu den ultraschallbasierten Techniken wird die Untersuchung bei Vorliegen von Aszites oder Übergewicht nicht in der Aussagekraft beeinträchtigt.
- Dagegen stehen die deutlich höheren Kosten und längeren Untersuchungszeiten.
- Die Magnetresonanz-Elastografie (MRE) kann durch die Kombination einer Phasen-KontrastMethode und einer Schallwelle Leberfibrose mit der höchsten Genauigkeit nichtinvasiv messen.
- Aufgrund der großen Genauigkeit bei gleichzeitig hohen Kosten werden diese Techniken heute vor allem in klinischen Studien eingesetzt.
Sonstiges
Elastografie
- Weiterentwicklungen im Bereich der Sonografie sind Elastografieverfahren, die eine Quantifizierung des Leberfettgehalts oder eine Quantifizierung der hepatischen Fibrose ermöglichen.
- Die vibrationskontrollierte transiente Elastografie (VCTE) ist eine ultraschallbasierte Technik und misst die Geschwindigkeit eine Schallwelle mit niedriger Amplitude in einem oberflächlichen Bereich des Lebergewebes und berechnet daraus die Steifigkeit des Lebergewebes als Surrogat für den Fibrosegrad in kPa.
- Die VCTE hat eine gute Genauigkeit zur Identifikation der fortgeschrittenen Fibrose (F3; Sensitivität 85% und Spezifität 82%) und eine sehr gute Genauigkeit für Zirrhose (F4; 92% Sensitivität und 92% Spezifität).
- Dahingegen könne niedriger Fibrosestadien nicht zuverlässig abgegrenzt werden [7].
- Einschränkungen ergeben sich auch durch ungültige Messungen, die durch Übergewicht, subkutanes Fett oder Unerfahrenheit des Untersuchers entstehen.
- Durch die Kombination mit einer sog. CAP-Untersuchung (Controlled Attenuation
Parameter), die auf demselben Gerät angeboten wird und die die Abschwächung von Ultraschallwellen durch den Fettgehalt quantifiziert, kann auch der Leberfettgehalt näherungsweise bestimmt werden.
- Eine andere kommerziell angebotene Methode zur Quantifizierung der Leberfibrose ist die Schwerwellen-Elastografie, die die sog. ARFI-Technologie (Acoustic Radiation Force Impulse) einsetzt.
- Hierbei werden akustische Impulse in einer zu definierenden Region verwendet, um die mechanischen Eigenschaften des Lebergewebes zu untersuchen.
- Im Vergleich zur VCTE-Technik liegt der Vorteil in den größeren Freiheitsgraden bei der Auswahl der zu untersuchenden Region in der Leber.
Histologie, Zytologie und klinische Pathologie
Histologische Leberdiagnostik
- Die Leberbiospie ist der Goldstandard zur Diagnostik einer MASLD und des Erkrankungsstadiums.
- Die zwei am häufigsten verwendeten Bewertungssysteme bewerten
- Verfettung (Seatose),
- lobuläre und portale Entzündung (Inflammation),
- Ballonierung von Leberzellen als Ausdruck von zellulärem Stress und Zellschäden,
- Fibrosestadium.
- Von einer Leberverfettung – die in aller Regel makrovesikulär ist – wird ab einem Fettgehalt von > 5% der Leberzellen gesprochen.
- Das Verteilungsmuster im Leberläppchen kann sich in Abhängigkeit der auslösenden Ursache deutlich unterscheiden.
- Weiterhin ist es zwischen Kindern (Zone 1) und Erwachsenen (perizentrale Verfettung; Zone 3) unterschiedlich.
- Um die MASLD von der MASH abzugrenzen, müssen lobuläre Entzündung und
Leberzellschädigung – histomorphologisch durch ballonierte Hepatozyten beschrieben – in der Leberbiospie vorliegen. - In der Literatur werden heute im Wesentlichen zwei Scoringsysteme gefunden, die die Aktivität der Erkrankung graduieren:
- Der NAFLD Activity Score (NAS) wird als Summe von Verfettung (0–3), lobulärer Entzündung (0–3) und Ballonierung (0–2) gebildet.
- Der Summenpunktwert gibt dabei eine Aktivität wieder, die regelhaft verwendet wird, um einen Aussage über die Veränderungen über die Zeit, oder z. B. nach einer therapeutischen Intervention, zu machen.
- Allerdings ersetzt der Punktwert nicht die Beurteilung eines Pathologen, ob eine MASH bzw. eine MASLD vorliegt.
- Der NAS bezieht das Fibrosestadium nicht mit ein, da er primär zur Beurteilung von rasch reversiblen histologischen Kriterien entwickelt wurde.
- Der SAF-Score (Steatose, Aktivität, Fibrose) bewertet die Steatose (S0–S3), die Aktivität der Erkrankung (A0–A4) und das Fibrosestadium (F0–F4).
- Die Aktivität wurde dabei als Summe aus lobulärer Entzündung (0–2) und hepatozellulärer Ballonierung (0–2) gebildet.
- Im Gegensatz zum NAS kann anhand eines Aktivität-Scores von A> 2 die Diagnose einer MASH gestellt werden.
- Der NAFLD Activity Score (NAS) wird als Summe von Verfettung (0–3), lobulärer Entzündung (0–3) und Ballonierung (0–2) gebildet.
Molekulargenetische Diagnostik
- Die genetische Diagnostik zählt nicht zum klinischen Standard in der Diagnostik der MASLD.
- Differenzialdiagnostisch ist vor allem bei Patienten mit hohen Ferritinwerten die Bestimmung des HFE-Gens C282Y erforderlich, um eine hereditäre Hämochromatose auszuschließen.
- Einschränkend ist zu sagen, dass Patienten mit MASLD oft eine Ferritinerhöhung aufweisen, Werte von 1000 ng/ml aber in der Regel nicht überschreiten.
- Im Kontext der MASLD wurden mehrere Risikoallele beschrieben:
- Im Zusammenhang mit der Dallas-Heart-Studie wurde ein SNP für die Patatin-like phospholipase domain-containing 3 (PNPLA3) rs738409 ‚M Variante‘ (43928847C>G codierend für PNPLA3-I148M) beobachtet, der mit einer verstärkten Speicherung von Fett in der Leber assoziiert ist, auch schon bei geringer Ausprägung von metabolischen Risikofaktoren.
- Weniger deutlich ist der Zusammenhang von weiteren SNPs, die in genomweiten Assoziationsstudien (GWAS) beobachtet wurden.
- Dazu zählen der Transmembran 6 Superfamilie Member 2 (TM6SF2) rs58542926 ‚K variant‘ (19268740C>T, codierend für TM6SF2-E167K) und
- der Glucokinase Regulator (GCKR) rs1260326 ‚L variant‘ (27730940C>T, codierend für GCKR-P446L).
- Ein weiterer SNP wurde für membrane-bound O-acyltransferase domain-containing 7 (MBOAT7) beschrieben, das den hepatischen Phospholipidstoffwechsel reguliert.
- Der MBOAT7 rs641738 Polymorphismus (codierend für MBOAT7-G17E) kommt bei bis zu 40% in manchen Populationen vor und korreliert mit dem Auftreten einer NAHS und Fibrose [10].
- Heute sind diese genetischen Untersuchungen kein Teil der klinischen Routineversorgung.
- Allerdings ist es gut vorstellbar, dass die genetische Diagnostik zukünftig herangezogen wird
- zur individuellen Risikostratifizierung,
- zum besseren Verständnis von Patienten mit geringerer Ausprägung von Risikofaktoren oder
- zur Risikostratifizierung.
Differenzialdiagnosen
|
Abgrenzung durch Anamnese, ggf. unter Einbeziehung von Bezugspersonen Fragebögen zur Alkoholabhängigkeit spielen im klinischen Alltag eine untergeordnete Rolle. Laborchemisch ist die Bestimmung von Ethanol im Blut möglich. Im Kontext der Vorbereitung zur Lebertransplantation kommen Alkoholaddukte, z. B. Ethylglucuronid (EtG) im Urin, zum Einsatz. Das Carbohydrat-defiziente Transferrin (CDT) spielt in der Routinediagnostik eine untergeordnete Rolle. Indirekte Labormarker, z. B. IgA- oder MCV-Erhöhungen haben eine geringe Spezifität und deuten vor allem bei zugrunde liegender Zirrhose nicht auf Alkoholkonsum hin. |
|
|
Kortikosteroide, Tamoxifen, Methotrexat, Valproinsäure, Tetrazykline, Nukleosidanaloga, Didanosin, Stavudin, MDMA (Amphetamine), Amiodaron, antiretrovirale Therapeutika (ART) |
|
|
Hepatitis-C-Virus |
|
|
familiäre Hyperlipidämie |
|
|
akute Schwangerschaftsfettleber, Zöliakie, Morbus Wilson, Reye-Syndrom |
Therapeutisches Vorgehen
- Die Empfehlungen zur Behandlung der MASLD beinhalten Lebensstiländerungen.
- Ziel ist es, die begleitenden metabolischen Kofaktoren zu beeinflussen und dadurch einen positiven Effekt auf die erhöhte Mortalität zu erreichen.
- Eine Leber-gerichtete medikamentöse Therapie wurde in Deutschland erstmals im September 2025 zugelassen.
Allgemeine Maßnahmen
- Die Empfehlungen zur Behandlung der MASLD sind heute recht allgemein gehalten und sprechen von Lebensstiländerungen:
- Steigerung der körperlichen Aktivität
- Reduktion der Kalorienaufnahme,
- ohne spezifisches diätetisches Vorgehen
- Mehrere Studien, zum Teil biopsiekontrolliert, haben eine Verbesserung der Leberhistologie durch eine Gewichtsreduktion gezeigt.
- Eine Reduktion des Körpergewichts um 5% reicht aus, um den hepatischen Fettgehalt zu reduzieren.
- Zum Verschwinden der MASH kommt es bei 90% der Patienten, die eine Gewichtsreduktion von ca. 7–10% erreichen [13].
- Allerdings gelingt auch unter Studienbedingungen nur jedem fünften Probanden mit ´MASH diese Gewichtsreduktion.
- Ähnlich ernüchternde Ergebnisse hat die prospektiv durchgeführte Look-Ahead-Studie ergeben, in der versucht wurde, durch Gewichtsreduktion kardiovaskuläre Endpunkte zu verbessern. Trotz intensiven Trainings wurde über einen Zeitraum von 8 Jahren nur ein durchschnittlicher Gewichtsverlust von < 5% erreicht
- Alkoholkonsum sollte von Patienten – vor allem bei Vorliegen einer fortgeschrittenen Fibrose – komplett vermieden werden.
- Zu den Genussstoffen, denen eine protektive Wirkung in Bezug auf die Fibroseprogression zugeschriebenen wird, zählt Filterkaffee. Ab einer Menge von 3 Tassen pro Tag ist ein schützender Effekt in epidemiologischen Studien zu sehen.
Pharmakotherapie
- Glucagon-like-Peptid-1-Analoga haben in einer Phase-3-Studie einen Effekt auf die Leberhistologie (MASH Resolution und Fibroseregression) gezeigt.
- Basierend auf der MAESTRO-NASH Studie erfolgte die Zulassung von Resmetirom
Operative Therapie
- Die bariatrische Chirurgie ist die effektivste Methode, um eine Gewichtsreduktion zu erzielen und zu erhalten.
- Die Therapie wird schwerpunktmäßig bei Patienten eingesetzt, die unter morbider Adipositas und deren Komplikationen leiden.
- Im Zusammenhang mit der MASLD konnte gezeigt werden, dass auch in kurzen
Beobachtungszeiträumen durch den massiven Gewichtsverlust sowohl Entzündung als auch Fibrose zurückgehen. - Allerdings kann es durch den Eingriff zu operativen und postoperativen Komplikationen kommen.
- Patienten, bei denen sich bereits eine Leberzirrhose entwickelt hat, sind aufgrund des Risikos einer hepatischen Dekompensation keine geeigneten Kandidaten.
- Auch haben Langzeitbeobachtungen von Patienten nach bariatrische Chirurgie Sicherheitsbedenken ergeben, da die psychische Gesundheit beeinträchtigt werden kann: In einer kürzlich erschienenen Analyse zur Effektivität nach Roux-en-Y-Bypass zeigten sich in der operativen Gruppe 7 Suizide und damit deutlich mehr als in der nicht operierten Gruppe.
Nachsorge
- Betroffene mit einer MASLD sollten in Bezug auf die Entwicklung von metabolischen Erkrankungen (T2D, Fettstoffwechselstörungen).
- Bei fortgeschrittener Fibrose sollte der Progress zur Zirrhose überwacht werden.
Verlauf und Prognose
- Das Vorliegen einer MASLD reduziert die Lebenserwartung um 4 Jahre [2].
- Die MASLD ist eine dynamisch und langsam progredient verlaufende Erkrankung.
- Die Progression der Lebererkrankung beträgt ungefähr 1 histologisches Fibrosestadium alle 14 Jahre bei Fettleber (MASLD) und alle 7 Jahren bei MASH.
- Wenn Komorbidität vorliegt, insbesondere arterielle Hypertonie, beschleunigt sich der Erkrankungsprogress deutlich.
- Hauptsächliche Todesursachen sind Herz-Kreislauf-Erkrankungen, maligne Tumoren und an leberspezifische Komplikationen.
- Die Mortalität ist wesentlich von dem histologischen Fibrosestadium bei Erstdiagnose abhängig.
- Die Bedeutung der hepatischen bzw. systemischen Entzündung bei der MASH für die erhöhte Rate an Herz-Kreislauf-Komplikationen wurde intensiv untersucht und ist unabhängig von den klassischen kardiovaskulären Risikofaktoren.
- Patienten mit MASH zeigen vermehrt präatherogene Läsionen und einen veränderten kardialen Energiemetabolismus.
- Die Inzidenz von Herz-Kreislauf-Erkrankungen und Niereninsuffizienz sind bei Vorliegen einer MASLD unabhängig von anderen metabolischen Risikofaktoren erhöht [17] [18].
- Auch das Risiko für ein HCC ist bei MASH erhöht – auch unabhängig von einer Leberzirrhose. Ungefähr 30% der Patienten mit MASH-HCC weisen keine Zirrhose bei Erstdiagnose auf.
Prävention
- Zur Prävention der MASLD sollten Ernährungslehre in die Schulbildung einbezogen werden um frühzeitig Kompetenz in der Ernährung zu vermitteln.
- Ein unzureichendes Verständnis einer ausgewogenen Ernährung trägt zur Manifestation von Ernährungs- und Genussmittelgewohnheiten bei.
- Durch Früherkennung von steatotischen Lebererkrankungen (SLD) kann eine individuelle Präventionsstrategie durch die betroffene Person.
- Die ansteigende Prävalenz bei Kindern lässt eine weitere Zunahme der MASLD in den kommenden Jahren erwarten.
Besonderheiten bei bestimmten Personengruppen
Besonderheiten bei Kindern und Jugendlichen
- Durch die Zunahme von Übergewicht und Diabetes mellitus Typ 2 bereits im jugendlichen Alter, ist auch bei Kindern die Prävalenz der MASLD stark ansteigend.
- Bei der Behandlung von Kindern steht vor allem die Ernährungserziehung – unter
Hinzunahme der Eltern – im Vordergrund, um Ernährungsgewohnheiten zu durchbrechen. - Oft kommen bei betroffene Jugendlichen auch psychosoziale Konflikte durch Ausgrenzung hinzu, die letztendlich ungesunde Ernährungsgewohnheiten und Inaktivität weiter verstärken können.
Literatur
Quellenangaben
- [1] Allen AM, Therneau TM, Larson JJ et al. Nonalcoholic Fatty Liver Disease Incidenceand Impact on Metabolic Burden and Death: a 20 Year-Community Study. Hepatology 2018;
67: 1726–1736 - [2] Armstrong, MJ, Gaunt P, Aithal GP et al. Liraglutide safety and efficacy in patientswith non-alcoholic steatohepatitis (LEAN): a multicentre, double-blind, randomised, placebo-controlled phase 2 study. Lancet 2016; 387: 679–690
- [3] European Association for the Study of the Liver, European Association for the
Study of Diabetes and European Association for the Study of Obesity. EASL-EASD-EASO
Clinical Practice Guidelines for the management of non-alcoholic fatty liver disease. J
Hepatol 2016; 64: 1388–1402 - [4] George J, Anstee Q, Ratziu V et al. NAFLD: The evolving landscape. J Hepatol2018; 68: 227–229
- [5] Konerman MA, Jones JC, Harrison SA. Pharmacotherapy for NASH: Current andemerging. J Hepatol 2018; 68: 362–375
- [6] Kwok R, Tse YK, Wong GL et al. Systematic review with meta-analysis: noninvasive assessment of non-alcoholic fatty liver disease – the role of transient elastography and plasma cytokeratin-18 fragments. Aliment Pharmacol Ther 2014; 39: 254–269
- [7] Loomba R. Role of imaging-based biomarkers in NAFLD: Recent advances inclinical application and future research directions. J Hepatol 2018; 68: 296–304
- [8] Loomba R, Wolfson T, Ang B et al. Magnetic resonance elastography predictsadvanced fibrosis in patients with nonalcoholic fatty liver disease: A prospective study.
Hepatology 2014; 60: 1920–1928 - [9] Mann JP, Anstee QM. NAFLD: PNPLA3 and obesity: a synergistic relationship in
NAFLD. Nat Rev Gastroenterol Hepatol 2017; 14: 506–507 - [10] Ratziu VA. Critical review of endpoints for non-cirrhotic NASH therapeutic trials. JHepatol 2018; 68: 353–361
- [11] Roeb E, Steffen HM, Bantel H et al. [S2k Guideline non-alcoholic fatty liverdisease]. Z Gastroenterol 2015; 53: 668–723
- [12] Vilar-Gomez E, Chalasani N. Non-invasive assessment of non-alcoholic fatty liverdisease: Clinical prediction rules and blood-based biomarkers. J Hepatol 2018; 68: 305–315
- [13] Younossi ZM, Henry L. Economic and Quality-of-Life Implications of Non-Alcoholic
Fatty Liver Disease. Pharmacoeconomics 2015; 33: 1245–1253 - [14] Younossi Z, Anstee QM, Marietti M et al. Global burden of NAFLD and NASH:
trends, predictions, risk factors and prevention. Nat Rev Gastroenterol Hepatol 2018; 15:
11–20 - [15] Newsome P, Buchholtz K, Cusi K et al. A Placebo-Controlled Trial of Subcutaneous
Semaglutide in Nonalcoholic Steatohepatitis. N Engl J Med 2021; 384:1113-1124 - [16] Francque SM, Bedossa P, Ratzin V et al. A Randomized, Controlled Trial of the
Pan-PPAR Agonist Lanifibranor in NASH. N Engl J Med 2021; 385: 1547-1558 - [17] Labenz C, Huber Y, Michel M et al. Impact of NAFLD on the Incidence of
Cardiovascular Diseases in a Primary Care Population in Germany. Dig Dis Sci 2020; 65:
2112-2119 - [18] Kaps L, Labenz C, Galle PR et al. Non-alcoholic fatty liver disease increases therisk of incident chronic kidney disease. United European Gastroenterol J 2020; 8: 942-948
- [19] Huber Y, Schulz A, Schmidtmann I et al. Prevalence and Risk Factors of AdvancedLiver Fibrosis in a Population-Based Study in Germany. Hepatol Commun 2022; 6 (6): 1457-1466
Wichtige Internetadressen
Herausgeber*innen, Autor*innen und Aktualisierung
Herausgeber*innen: Jürgen Ferdinand Riemann, Wolfgang Fischbach, Peter R. Galle, Joachim Mössner
Autor*innen: Jörn M. Schattenberg
Letzte Änderung: 13.11.2025
Quelle: Schattenberg J. Nicht alkoholische Fettlebererkrankung. In Riemann J, Fischbach W, Galle P, Mössner J, Hrsg. Referenz Gastroenterologie. 1. Auflage. Stuttgart: Thieme; 2019, Aktualisierung vom 13.11.2025.





